近日,ISICDM 2018胰腺CT圖像分割挑戰賽獲獎團隊名單揭曉,物理與材料科學學院上海市磁共振重點實驗室王一達領銜的團隊在40多支隊伍中進入前6名,榮獲三等獎。

物理與材料科學學院上海市磁共振重點實驗室王一達團隊獲ISICDM 2018胰腺CT圖像分割挑戰賽季軍
此次胰腺CT分割挑戰賽,由ISICDM 2018會議組委會聯合陸軍軍醫大學數字醫學研究所與陸軍軍醫大學西南醫院共同主辦,旨在通過挑戰賽的形式為數字醫學產學研界提供技術交流和展示的平臺。本項挑戰賽收集20例經病理診斷為胰腺癌的病人,40例正常對照組(男性、女性各20例)。掃描設備為西門子64排CT(Definition AS, Siemens),掃描方案為標準胰腺掃描方案,受試者仰臥位躺于掃描床上,掃描范圍上包括膈肌,下包括坐骨結節。共采集平掃、動脈期、靜脈期三組數據。平掃完成后依據體重經肘靜脈推注非離子造劑(歐乃派克350 GE)100-120ml,注射速度為4-5ml/s,注射完成后25-30s采集動脈期,60s采集靜脈期。掃描參數為管電壓120KV,有效管電流為60-110mAs,準直寬度為16x1.2mm,螺距為0.8,分別行1mm和5mm重建。因胰腺分割在臨床上多采用靜脈期,所以本次挑戰賽僅選取了靜脈期圖像。
胰腺是人體最重要器官之一,具有內、外分泌功能。近年,胰腺疾病的發病率逐年上升,尤其是胰腺癌,為致死率最高的腫瘤之一,5年生存率小于1%。CT檢查為診斷胰腺病變最主要的檢查方式,隨著數字醫療設備的進步和影像組學和深度學習等領域的發展,利用CT數據進行計算機輔助診斷,準確診斷胰腺病成為可能。而胰腺分割作為計算機輔助診斷基礎而重要步驟,研究意義重大。由于胰腺的解剖結構較為復雜,其主要位于后腹膜,形態、位置變異較大,且周圍有大量鄰近組織,如胃、十二直腸、脾臟及大血管,這些組織在CT圖像上與胰腺緊密相連且密度相似,再加上CT圖像本身的噪聲、局部體效應和組織運動的影響等因素,胰腺分割也是個具有很大挑戰性的問題。
本次大賽于9月20號開始報名,內容分為初賽和決賽,初賽又分為兩個階段,初賽第一階段于10月7日到10月9日進行,共計24小時,初賽第二輪于10月14日上午舉行,共計4小時,決賽于10月14日晚舉行。在初賽的第一和第二階段,參賽選手們根據大會公開的第一批和第二批測試數據分別提交了分割結果,一共有22個團隊提交了初賽第一輪和第二輪的分割結果。隨后,兩輪初賽的定量評價(基于Dice值)排名前10名的團隊進入了10月14日晚的現場決賽。決賽當晚,挑戰賽組織者現場發放臨床數據,10個決賽團隊輪流上臺展示,在臺上用自備的電腦當場測試各自的算法,并通過投影展示軟件的完整操作過程,一層一層地顯示分割結果,以便評委和觀眾能夠仔細觀察。最后,挑戰賽的3位算法評委和3位影像科醫生評委綜合考慮了初賽第一輪和初賽第二輪的定量評估排名和現場決賽6位評委的主觀評估排名之后,評出了一等獎1名,二等獎2名,三等獎3名。

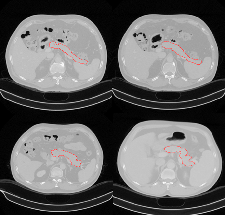
描紅部分為王一達團隊找出的胰腺位置
此次胰腺分割挑戰賽兼具專業性和實戰性。專業性不僅體現在參賽選手的教育背景和專業水準上(決賽隊伍均來自浙江大學、上海交通大學、廈門大學、同濟大學等中國一流高校),也體現在算法和醫生評委上。決賽算法評委包括了電子科技大學李純明教授,美國杜蘭大學王玉平教授和平安科技美東研究院呂樂博士。來自北京大學第一醫院王霄英教授,北京協和醫院陸菁菁教授和吉林大學第一醫院佟丹教授則組成了強大的醫生評委陣容。在實戰性上,參賽隊伍使用的20例訓練數據和16例測試數據均來自陸軍軍醫大學西南醫院的真實臨床數據,每一例都包含層厚為2mm和5mm的兩個增強靜脈期三維CT圖像,并且大賽不允許反復提交分割結果,避免了傳統分割挑戰賽中參賽者通過反復提交結果刷分數的弊端。據了解,王一達整個國慶節都在緊張的備戰。初賽和決賽環節的每場比賽時間越來越短,也越來越逼近真實臨床環境。在現場決賽環節,兩輪初賽總成績前十名的團隊到場,自備電腦連接會場的大屏幕,評委和觀眾在臺下實時觀看參賽代表的軟件操作過程,所得到的結論真實可信。

物理與材料科學學院上海市磁共振重點實驗室王一達
在賽后接受采訪時,王一達特別提到感謝團隊中的另外兩位成員:在比賽過程中提供算法優化建議的宋陽博士,以及提供醫學指導的江蘇省人民醫院張玉東博士。王一達還對實驗室楊光老師的支持與鼓勵、計算機系沈超敏老師一直以來的合作表示感謝,這份榮譽離不開大家的支持與幫助。
附:ISICDM 2018胰腺CT圖像分割挑戰賽獲獎名單
一等獎:李悅團隊(中山大學)
二等獎:唐曉穎團隊(南方科技大學)
陳宇飛團隊(同濟大學)
三等獎:陳榮臻團隊(廈門大學)
余偉團隊(重慶圖矩科技有限公司,重慶大學)
王一達團隊 (華東師范大學)
圖、文|張知博 來源|物理與材料科學學院 編輯|劉露霞 編審|郭文君